Almoyna Dental

Blanqueamiento dental en Palma

Blanqueamiento
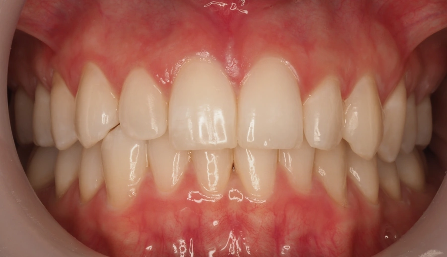
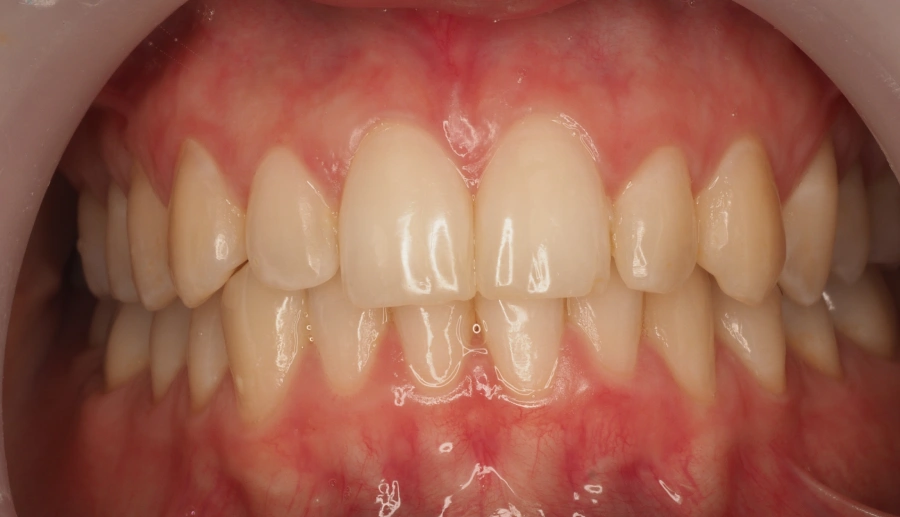
Resultados de blanqueamiento dental

¿Por qué un blanqueamiento dental?

El blanqueamiento dental es un tratamiento orientado a eliminar manchas o tinciones presentes de la superficie dental.

Estas alteraciones del color pueden deberse al consumo de tabaco, café o vino tinto, a la toma de determinados medicamentos o a traumatismos que provocan que el diente adquiera un tono grisáceo, entre otras causas.

Objetivo del tratamiento

El principal objetivo del blanqueamiento dental es mejorar la estética de la sonrisa, logrando un tono dental más claro y uniforme sin comprometer la estructura natural del diente. Se trata de un tratamiento conservador que, aplicado de forma profesional, permite obtener resultados visibles y progresivos.

Tipos de blanqueamiento dental

El blanqueamiento que se emplea con mayor frecuencia y que ofrece mejores resultados es el externo, realizado en la clínica dental mediante la aplicación de productos específicos por parte de profesionales cualificados.

Cuando las tinciones son más profundas, puede ser necesario recurrir a un blanqueamiento interno del diente, procedimiento que requiere previamente la realización de una endodoncia. Desde nuestra clínica dental en Palma, los blanqueamientos que más trabajamos son:

Blanqueamiento externo

Blanqueamiento externo

El blanqueamiento externo actúa sobre la superficie del esmalte dental y está especialmente indicado para manchas provocadas por hábitos alimenticios o consumo de tabaco. Este procedimiento se realiza en consulta bajo control profesional, permitiendo ajustar la intensidad del tratamiento según las necesidades de cada paciente.

Blanqueamiento interno

Blanqueamiento interno

El blanqueamiento interno está indicado en aquellos dientes que han sufrido un oscurecimiento como consecuencia de traumatismos o tratamientos previos. Al tratarse de un procedimiento más específico, requiere una valoración individualizada por parte del especialista.

Según las características del paciente y el resultado estético que se desee conseguir, el tratamiento puede requerir una o varias sesiones de blanqueamiento.

Resultados y seguimiento

Realizar un tratamiento de blanqueamiento dental en Palma, en una clínica especializada, permite obtener resultados naturales y duraderos. El seguimiento profesional garantiza que el proceso se desarrolle de forma adecuada y que el resultado final se adapte a la sonrisa de cada paciente.

Descubra los casos de nuestros pacientes

Dra. Helena Martínez-Almoyna

Conozca a nuestra especialista en Blanqueamiento dental

Dra. Helena Martínez-Almoyna
Resultados de nuestros tratamientos
Blanqueamiento dental

Especialistas en blanqueamiento dental en Palma

El blanqueamiento dental es un tratamiento de estética dental seguro y eficaz cuando se realiza bajo la supervisión de profesionales especializados. En nuestra clínica de blanqueamiento dental, en Palma de Mallorca, cada caso se estudia de forma individualizada para ofrecer un tratamiento adaptado a las características de cada paciente, con el objetivo de conseguir una sonrisa más clara, natural y en armonía con el resto del rostro.

¿Quiere hacerse un blanqueamiento dental en Mallorca?

No dude en contactar con nuestra clínica. Estamos aquí para ayudarle en lo que necesite.